| |
Qu’est ce que le tartre ?
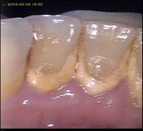
Le tartre menace la santé des dents et des gencives , mais présente également un problème esthétique.
On trouve :
- du tartre supra gingival (visible sur les dents)
- du tartre sous-gingival (le long de la racine)
Le tartre se forme de préférence dans les zones en regard des glandes salivaires, c’est-à-dire sur la face linguale des incisives inférieures, coté labial des molaires supérieures.
Le tartre, c’est de la plaque dentaire calcifiée produite à partir des minéraux contenus dans la salive.
Sous l’effet des ions calcium présents dans la salive, la plaque dentaire se solidifie et fait place au tartre.
Le tartre est rugueux et poreux. Il permet la rétention de nouvelle plaque, qui a son tour va se calcifier et venir augmenter la couche de tartre existant.
Lorsqu’on analyse du tartre au microscope électronique, on voit qu’il ne présente aucune bactérie vivante, mais plutôt des logettes vides.
Le tartre en lui même n’est pas nocif, puisqu’il n’est pas constitué de bactéries vivantes, mais c’est l’accumulation de tartre qui crée des lésions gingivales, en favorisant l’inflammation. Le saignement des gencives est de plus en plus important, il peut y avoir des lésions osseuses qui conduisent à des mobilités dentaires et l’halitose se développe.

La plupart des patients pensent avoir une bonne hygiène, et donc une sensation de « bouche propre ». En fait, lorsque nous effectuons des contrôles bactériens, et de plaque dentaire, nous sommes surpris de remarquer que ce n'est qu'une illusion. La réalité est toute autre...cela a d'ailleurs des conséquences perceptibles: saignement, déchaussement, mauvaise haleine, dents qui bougent, infections des gencives, enflures, etc.
Notre rôle: optimiser vos gestes et vos habitudes quotidiennes. Cela est réalisé au cabinet par Natacha, notre conseillère en hygiène bucco-dentaire.
Enseignement du brossage
Le tartre se forme prioritairement au niveau de la face linguale (du côté de la langue) des incisives inférieures ; ensuite on peut l'observer sur la face vestibulaire (du côté de la joue) des premières molaires supérieures. Il se dépose plus rarement ailleurs, mais on peut parfois en observer sur toutes les dents.
Il se forme plus ou moins vite selon les individus, en fonction de différents facteurs : |
 |
Qualité du brossage : mieux la plaque dentaire est éliminée, moins le tartre pourra se former.
- Salive : Selon les variations de pH, le pouvoir tampon, la quantité, etc.
- Tabac : Le tabac est néfaste pour le parodonte.
Le détartrage
Le tartre est le résultat de la calcification de la plaque dentaire. Laisser trop longtemps le tartre en place aboutit inévitablement à un dechaussement prematuré des dents, donc à une mobilité elle-même précoce, conduisant, dans la durée, à une perte des dents atteintes.
Le détartrage consiste à retirer tous les dêpots de tartre accrochés aux surfaces dentaires et surtout présents dans les espaces inter-dentaires. |
 |
Ce soin est pratiqué avec les ultra-sons, combinés avec une irrigation d'eau produisant un phénomène mécanique capable de disloquer le tartre et autres debris en utilisant le principe de la vibration à haute fréquence. Ils sont sans danger pour l'émail et se contentent d'agir sur toutes les matières adhérant aux dents. La plupart du temps, ce soin est indolore; il arrive cependant que des sensibilités apparaissent lorsque les dents sont déchaussées. Certains patients atteints de pathologies bien spécifiques ont besoin d'un traitement antibiotique ou d'un traitement local d'un mois à base de pâte de mons (eau oxygénée + bicarbonate), avant tout détartrage. En effet, le passage de micro-organismes dans la circulation sanguine et peut avoir de fâcheuses conséquences sur l'état de santé général dans certains cas ( Rhumatisme articulaire aigu, endocardite d'osler) . |
Fréquence
La fréquence nécessaire de détartrage est très variable d'un individu à l'autre, selon la vitesse de formation du tartre, et de la sensibilité aux maladies parodontales. Cette vitesse de formation dépend essentiellement de la qualité du brossage, mais aussi de facteurs spécifiques à l'individu (consommation de tabac, qualité de la salive...). La fréquence nécessaire de détartrage pourra varier de tous les 3 mois à plusieurs années.
Cependant pour simplifier on peut conseiller un détartrage environ une à deux fois par an, en même temps qu'une visite de contrôle. Un détartrage ne permet pas un blanchiment dentaire, il ne fait qu'éclaircir un peu la dent, le tartre jaunissant dans la bouche étant ôté.
La lithotritie
Cela consiste à éliminer les bactéries et le tartre en profondeur dans vos poches parodontales à l’aide d'infrasons, jet d'air ainsi que d'une fibre optique.
• Il n’y a pas de décollement de gencives ni de points de sutures.
• Plusieurs séances sont nécessaires.
|
|
|